El estudio de los tumores de 500 gatos ofreció nuevas herramientas tanto a los veterinarios como a los médicos.
Los gatos son, con los perros, los animales que más tiempo pasan con los humanos. Comparten espacios, rutinas y hasta enfermedades. Están expuestos a casi todos los estresores ambientales que inducen la aparición de tumores en las personas. Sin embargo, y a diferencia de lo que sucede con los canes, la investigación del cáncer en felinos es muy limitada. Ahora, un enorme trabajo publicado en Science con centenares de muestras tumorales ha obtenido el oncogenoma más completo del gato doméstico. Entre sus hallazgos, hay dos muy relacionados: gatos y humanos sufren casi los mismos tipos de cáncer y eso abre la vía para que cada avance en la lucha contra el cáncer en una especie pueda ser aprovechado por la otra.
El cáncer es una de las principales causas de morbilidad y mortalidad en gatos mayores. Sin embargo, se sabe muy poco sobre la genética que impulsa estos cánceres, recuerda Louise van der Weyden, investigadora del Instituto Wellcome Sanger (Reino Unido) y autora sénior de un estudio en el que han analizado muestras tumorales (y tejidos sanos adyacentes) de 493 gatos. Nos parecía profundamente injusto que en esta era de la medicina de precisión, donde las terapias dirigidas son el tratamiento de elección para el cáncer en humanos, no existieran para gatos, añade Louise van der Weyden. Necesitando saber la mutación genética que hay tras cada tumor para diseñarlas, nos propusimos caracterizar los genes que impulsan el cáncer en gatos, definiendo el oncogenoma del gato doméstico, detalla la genetista.
Con la participación de una veintena de instituciones, un amplio grupo de genetistas, oncólogos y veterinarios ha secuenciado 978 genes relacionados con los tumores que tenían este medio centenar de gatos. Son genes con una secuencia y funciones similares a unos mil genes que hay detrás del cáncer en humanos. En conjunto, reunieron tejidos con 13 grandes tipos de cáncer, desde osteosarcoma hasta adenocarcinoma pancreático, pasando por distintos carcinomas mamarios. Procedían de biopsias y necropsias de gatos domésticos, la gran mayoría sin pedigrí, de cinco países.
Mutación por mutación, gen por gen y tumor por tumor, lo que han descubierto es el enorme parecido entre gatos y humanos. Lo que inicialmente nos sorprendió fue el grado de superposición en cuanto a los genes mutados en los cánceres de ambas especies, cuenta en un correo Van der Weyden. Sin embargo, en esencia, probablemente no sea tan sorprendente si consideramos que los genomas humanos y felinos son notablemente similares, añade. Aproximadamente el 90% de los genes del gato doméstico son homólogos a los humanos, más que los de perros o ratones.
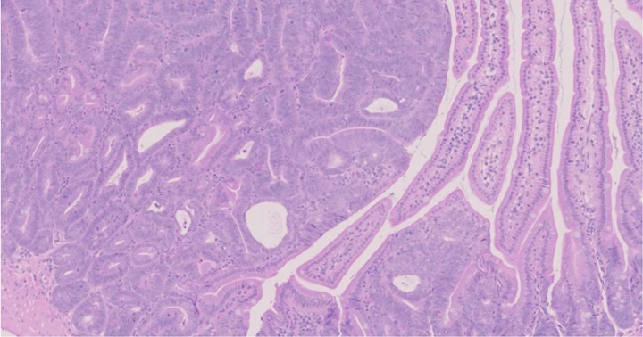
Los investigadores identificaron decenas de mutaciones en genes que intervienen en 13 tipos de cáncer. En la imagen, tejido del intestino, a la izquierda una zona de tumor y a la derecha, el sano.
El cáncer de mama es un buen ejemplo. El estudio identificó siete genes específicos que conducen al desarrollo de ciertos tipos de cánceres mamarios agresivos. El gen impulsor más común es el FBXW7. Más de la mitad de los tumores en gatas presentan mutaciones en este gen. Un subtipo es el llamado cáncer de mama triple negativo, que es particularmente agresivo y más común en mujeres jóvenes, destaca Van der Weyden. Los felinos contraen este subtipo de cáncer mamario con mucha mayor frecuencia que los humanos. En gatos es extremadamente agresivo y se asemeja al cáncer de mama triple negativo en mujeres, añade la investigadora.
La similitud en cánceres de mama abre la vía para la colaboración entre la medicina de las distintas especies. Descubrimos que el gen FBXW7 mutaba comúnmente en el cáncer mamario felino, y que las células cancerosas portadoras de mutaciones en FBXW7 eran más sensibles a los alcaloides de la vinca, comenta Van der Weyden. Se refiere a compuestos derivados de esta planta usados en quimioterapia. Eso hace que estos fármacos utilizados en humanos se puedan usar en gatos.
También observaron similitudes con las mutaciones impulsoras humanas de linfomas, tumores óseos, de pulmón, cutáneos o del sistema nervioso central, como los meningiomas. Partiendo de aquí, investigaciones futuras podrían generar nuevos conocimientos y terapias para ambas especies. Esto iría en la línea de la llamada One Health/Medicine, un enfoque holístico de la enfermedad más allá de la especie humana.
Es un enfoque que ya tenían Robert Koch y Louis Pasteur [padres de la microbiología y la medicina moderna], pero nos hemos endiosado, aunque nuestra tuberculosis produzca lesiones iguales a la tuberculosis de las vacas. Qué decir del SARS-CoV-2 o virus de la gripe que afecta a aves, mamíferos… recuerda Alejandro Suárez Bonnet, profesor especializado en patología comparada en el Royal Veterinary College (Reino Unido) y coautor de este oncogenoma del gato. El investigador defiende que los animales domésticos comparten tanto con los humanos que podrían ser mejores modelos que los ratones de laboratorio. Prácticamente todos los tipos tumorales que se desarrollan en humanos también lo hacen en perros, dice y, como demuestran ahora, también en gatos.
La práctica habitual en la investigación oncológica empieza por inducir tumores en ratones. Esto ya introduce un sesgo. Pero es que hay cánceres que son muy difíciles de desarrollar en el laboratorio, porque no replican exactamente, dice Suárez, también patólogo del Francis Crick Institute de Londres. Hemos identificado grupos de tumores que pueden representar modelos espontáneos de los tumores humanos, o sea que hay un beneficio en la dirección hacia los humanos, añade. Y pone un ejemplo concreto: El cáncer de vejiga canino, que también es muy agresivo, es biológicamente muy similar al cáncer de vejiga humano. Una de las aportaciones de este trabajo sobre el cáncer en gatos es que mostraría la importancia de la medicina veterinaria y de los animales domésticos como un punto fundamental en la investigación biomédica general, termina Suárez.
Este estudio refuerza el valor de los animales de compañía como modelos naturales para la oncología comparada y para el desarrollo de estrategias de medicina de precisión, comenta la investigadora del Centro Nacional de Investigaciones Oncológicas (CNIO), Guadalupe Sabio. No relacionada con esta investigación, Sabio cree que lo más interesante no es la descripción genómica en sí, sino lo que implica: En medicina humana llevamos años viendo cómo la colaboración estrecha entre clínicos e investigadores básicos ha sido fundamental para avanzar en el cáncer, pero en veterinaria ese tipo de puentes todavía están menos desarrollados.
Ahora hay un contexto que podría cambiar esto, con cada vez más animales de compañía, que viven más tiempo y desarrollan cáncer de forma espontánea en entornos compartidos con las personas. Para Sabio, directora del grupo de interacciones metabólicas del CNIO, eso hace que estos pacientes tengan un valor enorme desde el punto de vista científico. Si se consolidan estos puentes, termina la científica, el beneficio puede ser claramente bidireccional, tanto para la medicina humana como para la veterinaria.
Miguel Ángel Criado – El País de España

